Implantate bei Knochendefizit

Fester Halt und schöne Zähne auch bei schwierigen Voraussetzungen
Selbst bei stark geschädigtem Kieferknochen finden wir eine Lösung – mit innovativen Knochenaufbaumethoden und hochwertigen Implantaten für ein dauerhaft stabiles, ästhetisches Ergebnis.

Erfahren Sie alles Wichtige rund um die Setzung von Implantaten bei Knochendefiziten.
Fallbeispiel einer jungen Patientin
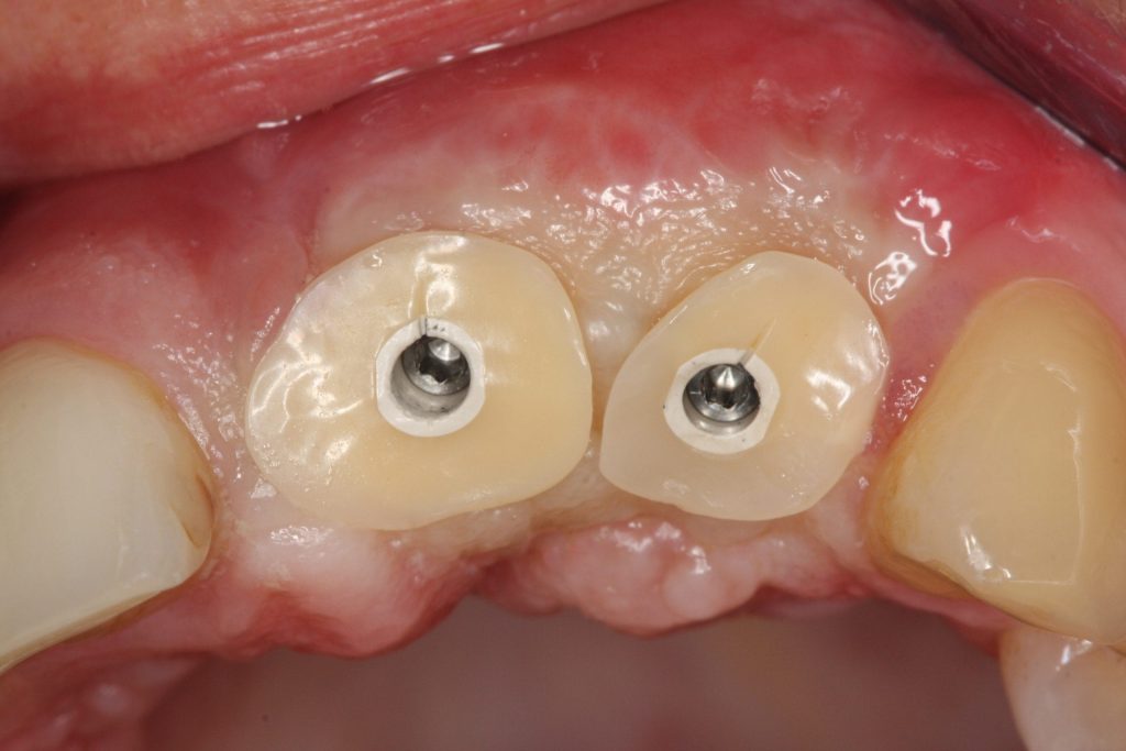
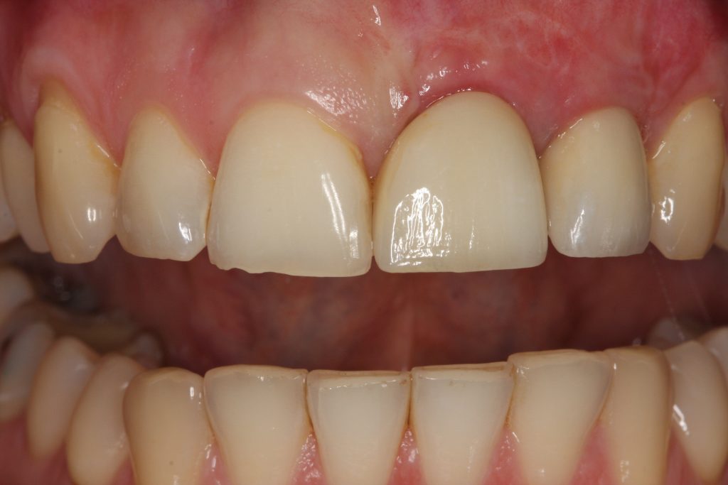
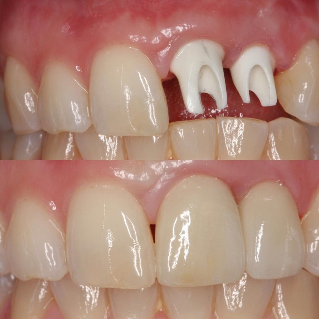
Eine 28-jährige Patientin benötigte Implantat getragenen Zahnersatz, um ihre Zahnlücke im Frontzahngebiet zu schließen und wieder unbeschwert lächeln zu können. Bevor die Implantate gesetzt wurden, war es bei dieser Patientin nötig, den geschädigten Kieferknochen wieder aufzubauen. Im Vorfeld wurde bereits durch Vorbehandler mit Augmentationsversuchen begonnen, welche jedoch leider fehlschlugen. So wurde in mehreren erfolglosen Behandlungsversuchen ein synthetisches Knochenaufbaumaterial verwendet. Dieses führte zu einer ausgedehnten Entzündung in deren Folge statt eines zusätzlichen Knochenvolumens ein massiver Knochendefekt im betroffenen Frontzahngebiet resultierte.
Schöne Zähne dank kompetentem Team
Ihr Zahnarzt Berlin Mitte, Prof. Dr. Olze & Kollegen, freut sich mittlerweile über eine große Anzahl von Patientenfällen, bei welchen ein schönes, strahlendes Lächeln wiederhergestellt werden konnte. Egal wie kompliziert Ihr Fall ist, wir kümmern uns sehr gern mit viel Erfahrung, Fachkompetenz und Einfühlungsvermögen um Sie! Auch wenn Sie an anderer Stelle negative Erfahrungen gesammelt und bei Vorbehandlern zahlreiche vergebliche Eingriffe im Vorfeld erlebt haben, können Sie gemeinsam mit uns Ihr Ziel erreichen und mit gesunden, schönen Zähnen Ihre Lebensqualität zurück erlangen. Wir unterstützen Sie gern und machen scheinbar Unmögliches möglich.

Sie benötigen ein Zahnimplantat oder möchten sich genauer über die Korrektur unzureichender Behandlungsergebnisse im Zusammenhang mit dem vergeblichen Einbringen von künstlichem Knochenersatzmaterial bei uns informieren?







