4‑Quadrantensanierung

Mehr als Zahnsanierung.
Meisterleistung.
Die Praxis für komplexe Zahnsanierung in Berlin – mit medizinischer Tiefe und technischer Exzellenz.

Hier finden Sie die wichtigsten Antworten auf Ihre Fragen zum Thema 4‑Quadrantensanierung.

Wiederherstellung Ihrer Lebensqualität – hochästhetische Langzeitergebnisse
Eine 4-Quadrantensanierung bedeutet immer auch die Wiederherstellung der Lebensqualität unserer PatientInnen. Unser Zahnkompetenz-Zentrum Berlin Mitte versteht sich im besten Sinne als Manufaktur zur Erarbeitung hochästhetischer und nachhaltiger Ergebnisse mittels der Versorgung mit hochwertigem Zahnersatz aus Vollkeramik. Eine 4-Quadrantensanierung oder eine ggf. notwendige Bisshebung ist ein entsprechend aufwändiger Prozess, welcher langfristig betrachtet den Gewinn echter Lebensqualität für Sie als PatientInnen mit sich bringt und daher eine gewisse Investition rechtfertigt. Unsere ExpertInnen beraten Sie transparent und ausführlich zu Kosten und Aufwand der notwendigen Behandlungsschritte.
Behandlung mit der 4‑Quadrantensanierung
Zähne nutzen sich im Laufe der Zeit ab – oft durch Knirschen, abträgliche Essgewohnheiten oder eine unzureichende Mundhygiene. Die Folge: Ästhetik und Biss leiden. Viele wünschen sich dann eine Wiederherstellung ihres Gebisses. In solchen Fällen kann eine sogenannte Bisshebung oder eine umfassende Sanierung aller vier Quadranten notwendig sein. Dabei wird das gesamte Gebiss ganzheitlich betrachtet und auf Basis sorgfältiger Befunde nachhaltig behandelt.

Ablauf der Behandlung mit 4‑Quadrantensanierung
Ein Schritt nach dem anderen
Die Behandlung im Rahmen einer 4‑Quadrantensanierung fällt in ihren einzelnen Schritten oder der Dauer stets individuell aus. Das ganzheitliche Therapiekonzept unserer Praxis in Berlin schafft dafür optimale Voraussetzungen. Wir bieten die notwendigen unterschiedlichen Methoden, Techniken und Therapien der modernen Zahnheilkunde aus einer Hand an – bei Bedarf ziehen wir darüber hinaus hochspezialisierte externe Spezialisten hinzu.
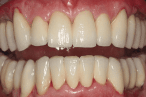
Beispiele für die 4‑Quadrantensanierung / Bisshebung durch Prof. Dr. Andreas Olze und sein Team: Komplette Versorgung mit Vollkeramik (Ober- / Unterkiefer)
Wer sollte eine 4‑Quadrantensanierung durchführen lassen?

Ob Angst vor dem Zahnarzt oder einfach nur Zeitmangel, sich um die regelmäßige Zahngesundheit zu kümmern: Die Gründe für abgenutzte Zähne oder ein schadhaftes Gebiss können vielfältig sein. Die Folge sind oft ein entzündetes Zahnfleisch (Parodontitis), ältere oder verfärbte Kunststofffüllungen, schlechtsitzender Zahnersatz oder unversorgte Zahnlücken. Auch eine störende Rot-Weiß-Ästhetik, also eine fehlende, optische Harmonie zwischen Zähnen und Zahnfleisch, können die Zahnästhetik beeinträchtigen. Darüber hinaus können jahrelange substanzschädigende Lebens- und Ernährungsgewohnheiten eine kontinuierliche Abnutzung der Zähne und dadurch eine Bissabsenkung mit Kieferfehlfunktionen verursachen. Besonders Personen in Service- und Beratungsberufen oder Personen aus dem öffentlichen Leben sind auf ein ansprechendes Äußeres mit einem attraktiven Lächeln als persönliche Visitenkarte angewiesen. Verfärbte, abgenutzte Zähne oder ein Abrasionsgebiss mit unschönen oder auch unsichtbaren Zähnen können dann schnell zu einem großen, wenn nicht existenziellen Problem werden.
Den Zahn der Zeit zurückdrehen
Häufig entsteht bei dieser Personengruppe ab der mittleren Lebensperiode der dringende Wunsch, die Zeit zurück zu drehen und eine umfassende Zahnsanierung durchführen zu lassen. Getreu dem Motto: Fit und schön in die zweite Lebenshälfte. Ihr Fachspezialist Prof. Dr. Andreas Olze berät und behandelt PatientInnen bereits seit vielen Jahren im Hinblick einer gesamthaften Zahn- und Gebisssanierung. Für ihn zählen neben dem perfekten, ästhetischen und typgerechten äußeren Erscheinungsbild auch die funktionale, nachhaltige Wiederherstellung des Gebisses zu den wichtigsten Behandlungszielen.
Kontraproduktive und substanzschädigende Gewohnheiten –
Kennen Sie das auch?
Die Ursache für abgenutzte Zähne und ein Gebiss, welchem man die gesteigerte Benutzung sprichwörtlich ansieht, ist einerseits schlicht und einfach der sprichwörtliche Zahn der Zeit, denn in einem mittleren Lebensalter sind die bleibenden Zähne bereits 40 bis 50 Jahre im Gebrauch. Jahrelang geübte, substanzraubende Lebensgewohnheiten können jedoch die ästhetischen und funktionellen Probleme verstärken bzw. bereits in früheren Lebensaltern zu Tage treten lassen.
Ihr persönlicher Heil- und Kostenplan bei abgenutzten Zähnen
Nach einer ausführlichen Diagnostik erhalten Sie einen detaillierten Heil- und Kostenplan, der die notwendigen Behandlungen oder Therapieschritte für den gesamten Behandlungszeitraum zusammenfasst und die nach bestem Wissen und Gewissen erwartbaren Kosten der prothetischen Rehabilitation ggf. mit Bisshebung beziffert. In Ausnahmefällen kann es je nach Therapieverlauf zu Abweichungen kommen, die auch die Kosten beeinflussen.
Zunächst bildet der Heil- und Kostenplan aber eine sehr gute Übersicht, um sich als PatientIn ein Bild über die einzelnen Kosten der prothetischen Behandlung ggf. in Verbindung mit einer Bisshebung machen zu können. Pauschalbeträge lassen sich leider nicht nennen, weil die Bisshebung im Rahmen einer 4-Qudaranten-Sanierung bei jedem Patienten individuell und anders verläuft.
Was kostet die Restauration eines Abrasions-Gebisses?
Die Kosten einer 4-Quadrantensanierung oder Bisshebung setzen sich aus drei Teilen zusammen:
- Honorar des Zahnarztes
- Materialkosten und
- Laborkosten
Für die Kosten treten teilweise die gesetzlichen Krankenkassen ein. Allerdings tragen sie nur Festkostenzuschüsse im Rahmen der sogenannten Regelversorgung. Diese stellt die einfachste Versorgungsform dar. Ästhetischere Lösungen und schonendere Behandlungsverfahren oder eine verbesserte digitale Diagnostik zählen leider nicht dazu – trotz ihrer vielfach erwiesenen Vorteile. Die Kosten hierfür werden teilweise oder komplett privat abgerechnet. Einige Beispiele für solche zahnärztlichen Leistungen mit privater Kostenbeteiligung sind:
Sie möchten mehr zu unserer 4-Quadrantensanierung erfahren? Besuchen Sie uns in der Zahnarztpraxis Berlin Mitte. Wir haben den passenden Termin für Sie frei.



