Implantatkomplexfall – Endlich wieder lächeln dank Kompetenz, Erfahrung und individueller Beratung!
Implantat getragener Zahnersatz ist ein moderner und qualitativ hochwertiger Weg, um Zahnlücken ästhetisch ansprechend, langanhaltend und stabil zu versorgen. In komplizierteren Fällen kann es aber auch nötig sein, Implantat getragenen Zahnersatz mit anderen Zahnersatzformen zu kombinieren, um ein ideales Ergebnis zu erzielen. Ihr Zahnarzt Berlin Mitte verfügt über viel Erfahrung und Fachkompetenz auf dem Gebiet Zahnersatz und Zahnimplantate. Der folgende Fall zeigt, dass auch bei schwerwiegenden und komplizierten Schädigungen mit Zahnlücken die Möglichkeit besteht, ein schönes, natürliches und funktional einwandfreies Gebiss durch die Verwendung verschiedener Formen des Zahnersatzes wiederherzustellen.
Versorgung eines Komplexfalls

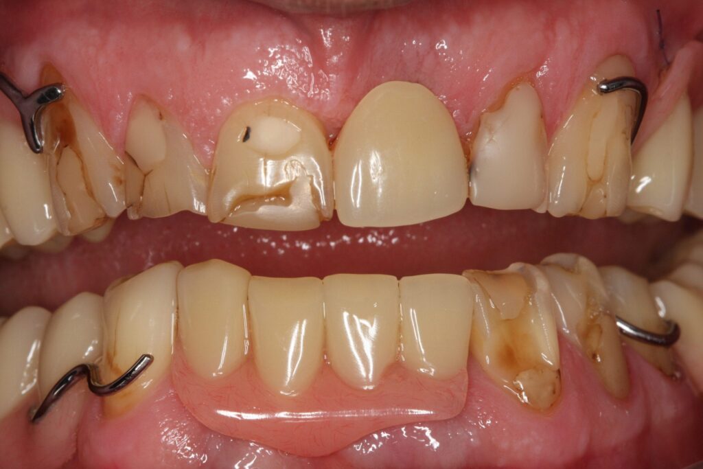
Im folgenden Fall behandelte Herr Prof. Dr. Olze einen 45 jährigen Patienten. Dieser hatte sowohl Zahnlücken als auch geschädigte Zähne, die versorgt werden sollten. Um ein ästhetisch ansprechendes Ergebnis zu erzielen, das in der Funktion mit den natürlichen Zähnen gleichzusetzen ist, musste zunächst ein genauer Therapieplan ausgearbeitet werden. Individuell und persönlich mit dem Patienten abgestimmt plante Ihr Zahnarzt in Berlin die Versorgung mit einer Kombination aus festsitzendem, Implantat getragenen Zahnersatz und einer Vollkeramikbrücke. Ausgangssituation war eine Versorgung mit einer herausnehmbaren Interimsprothese.
Vorbereitung des Implantat getragenen Zahnersatzes mit Langzeitprovisorien

Um die endgültige Versorgungslösung vorzubereiten, arbeitete Ihr Zahnarzt Berlin Prof. Dr. Olze zunächst mit Langzeitprovisorien. Die endgültige Kiefersituation musste gut geplant und vorbereitet werden, damit das Endergebnis perfekt zu den Gegebenheiten des Kiefers passt. Mithilfe der Provisorien konnte der Patient während dieser Vorbereitungszeit trotzdem ohne Probleme essen, sprechen und lächeln und war nicht mehr auf die herausnehmbare Prothese angewiesen. Als Spezialist auf dem Gebiet der Implantologie schaffte es Prof. Dr. Olze, den Kieferknochen gut auf die geplanten Implantate vorzubereiten, damit die anschließende Therapie erfolgreich verlaufen konnte.
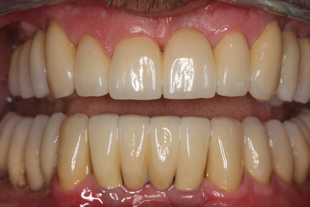
Implantat getragener Zahnersatz und Vollkeramikbrücke in Kombination

Damit das gesamte Gebiss nicht nur in seiner Funktion wiederhergestellt wird, sondern auch optisch ansprechend aussieht, wurde eine Kombination aus Implantat getragenem Zahnersatz und einer hochwertigen Vollkeramikbrücke im Oberkieferfrontzahnbereich gewählt. Diese Kombination erwies sich als optimale Lösung in der Abwägung von Vor- und Nachteilen. Es wurde Wert darauf gelegt, dass die gewählte Versorgung gut verträglich ist, lange hält, den Kieferknochen gesund erhält und die Ästhetik des Gebisses wiederherstellt. Das hochwertige Keramikmaterial der Brücke, die an den natürlichen Zähnen angebracht wurde, ist extrem gut verträglich, bruchsicher und kann in Farbe und Form den Gegebenheiten im Kiefer optimal angepasst werden. Für den Implantat getragenen Zahnersatz wählte der Patient in Absprache mit Prof. Dr. Olze qualitative Produkte der Firma Dentsply Sirona. Im Oberkiefer wurden sechs und im Unterkiefer sieben Xive S plus Implantate gesetzt.
Ihr Zahnarzt Berlin MITTE kümmert sich um Ihr Lächeln!
Wie im hier beschriebenen Fall kümmert sich Ihr Zahnarzt Berlin darum, dass Sie ein schönes, funktionierendes und gesundes Lächeln haben. Egal, wie kompliziert Ihre Zahnsituation ist, in Ihrer Zahnarztpraxis in Berlin finden wir gemeinsam mit Ihnen die ideale Lösung mit den meisten Vorteilen für Ihre individuelle Situation. Wie Sie sehen, erzielen wir auch in komplexen Fällen schöne, ästhetische und funktionale Zahnreihen. Darum kümmert sich der erfahrene Implantologe Prof. Dr. Olze mit seinem fachkompetenten Team aus Zahnärzten und Assistenten. Verzichten Sie nicht auf ein strahlendes Lächeln! Lassen Sie sich von uns beraten und Ihre Zähne wieder auf Vordermann bringen. Auch der Patient, der mit dem beschriebenen komplexen Fall in unsere Zahnarztpraxis in Berlin Mitte kam, freut sich nun über ästhetisch ansprechende und wie natürlich funktionierende Zähne, die ihm einen großen Teil seiner Lebensqualität zurückgeben.

Sie haben Probleme mit Zahnlücken oder kaputten Zähnen und wünschen sich ein schönes Lächeln? Vereinbaren Sie einfach einen persönlichen Beratungstermin bei Ihrem Zahnarzt Berlin Mitte und lassen Sie sich von uns ein schönes Lächeln zaubern!









