Abgenutzte Zähne – Interview mit Prof. Dr. Olze zum Thema Abrasionsgebiss
Abgenutzte Zähne durch stressbedingtes Knirschen oder Pressen sind leider weit verbreitet. Welche Folgen ein durch Abnutzung entstandenes Abrasionsgebiss hat, wie der Normalzustand des Kiefers wieder hergestellt werden kann und was alles zu beachten ist, erklärt Prof. Dr. Andreas Olze im Interview. Der Zahnarzt ist Inhaber der Zahnarztpraxis Prof. Dr. Andreas Olze und Kollegen in Berlin Mitte und unter anderem Fachmann auf dem Gebiet der ästhetischen Zahnheilkunde. Er behandelt seine Patienten mit modernen Methoden und neuesten Erkenntnissen.
Welche Gründe kann ein Abrasionsgebiss haben?
Prof. Dr. Olze: Es gibt unterschiedliche Gründe für das Entstehen eines generalisierten Abrasionsgebisses. Am häufigsten beobachte ich, dass betroffene Patientinnen und Patienten Stress über die Zähne abbauen, indem sie verstärkt knirschen oder pressen. Typischerweise betrifft dieses Problem sogenannte „Macher“, also Personen, die unter hohem beruflichem Stress stehen.
Oft trifft dies bei der genannten Personengruppe mit einer überaus gesunden Ernährungsweise mit ballaststoffreicher Nahrung mit entsprechenden Abriebeigenschaften zusammen. In Verbindung mit der verstärkten Aufnahme gesunder, jedoch säurehaltiger Früchte oder Fruchtsäfte verstärkt sich der Verlust an Zahnhartsubstanz im Kauflächenbereich oft zusätzlich.
Daneben werden oftmals adrenalinausschüttende Sportarten ausgeübt, so dass das damit verbundene sprichwörtliche „Zähnezusammenbeissen“ ebenfalls zu Substanzverlusten führt.

Ich erinnere mich besonders an einen bestimmten Patienten. Beruflich höchst erfolgreich, schlank und rank, sehr sportlich (Flugschein, Marathon etc.), Außendienstler, der mit seinem süddeutschen Sportwagen beruflich ständig mit Tempo 200 aufwärts von Kunde zu Kunde unterwegs war und in seiner Freizeit ebenfalls Rennen fuhr. Im Mund fand ich das Vollbild eines Abrasionsgebisses.
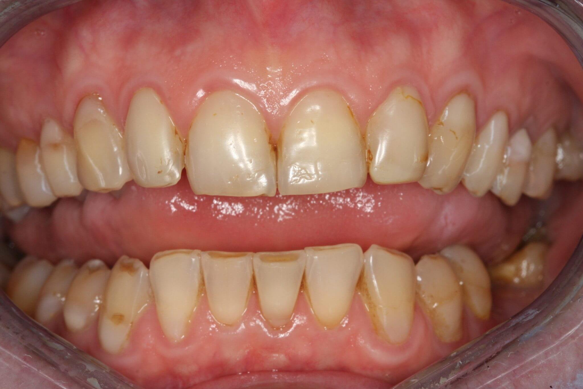
Durch welche Symptome macht sich ein Abrasionsgebiss bemerkbar?
Prof. Dr. Olze: Die Betroffenen bemerken eine fortschreitende Verkürzung Ihrer Zähne. Im Frontzahngebiet finden sich relativ plötzlich beschädigte Schneidekanten.

Bei weiterem Fortschreiten und völligem Verlust des Zahnschmelzes tritt das dunklere Zahnbein hervor, zusätzlich können sich in diesem Stadium Hypersensibilitäten ergeben.
Im weiteren Verlauf kann es zu Problemen bei der Aussprache bestimmter Laute kommen.
Darüber hinaus können sich durch das Absinken des Bisses nach und nach weitere Probleme einstellen. So kann sich der Druck der Unterkieferfrontzähne auf die Oberkieferfrontzähne erhöhen, Zahnwanderungen in der Oberkieferfront sind die Folge. Letztlich kann das Absinken des Bisses zu CMD-ähnlichen Problemen führen. Die Betroffenen berichten dann über Schmerzen und Verspannungen in der Kau und Halsmuskulatur.
Im Extremfall stellen sich ein Tinnitus und damit verbundene Erkrankungen bzw. Symptome ein.
Was muss man vor der Behandlung eines Abrasionsgebisses alles beachten?
Prof. Dr. Olze: Wenn man hier auf alle Aspekte eingehen wollte, müsste man ganze Bücher füllen. Daher kann ich hier nur in aller Kürze auf vorbereitende Maßnahmen eingehen.
Zunächst sollten Behandler und Betroffener die diagnostizierte Erkrankung eingehend besprechen. Die Patientinnen und Patienten denken meist, dass die Wiederherstellung ihrer Frontzahnästhetik mit ein paar Handgriffen getan ist. Im Verlauf des Gesprächs müssen die Betroffenen dann eine Bereitschaft entwickeln, sich überhaupt einmal die nötige Zeit für die Behandlung zu nehmen.
Wenn diese Stufe erreicht ist, kommt es entscheidend darauf an, für die Betroffenen ein sehr vorausschauendes und umfassendes Behandlungskonzept zu entwickeln. Da meist das gesamte Gebiss in die Behandlung einbezogen werden muss, müssen langfristig nicht erhaltungsfähige Zähne identifiziert werden. Denn, das ist kein Geheimnis, nach einer so umfangreichen Behandlung erwartet die Betroffenen ein langes behandlungsfreies Intervall. Oft werden hier von Seiten der Patientinnen und Patienten höhere Maßstäbe angelegt, als man sie gemeinhin für hochwertige Heimelektronik oder Haushaltsgeräte ansetzen würde.
Im Zusammenhang mit der Planung werden Situationsmodelle hergestellt. Vom Zahntechniker wird anschließend ein diagnostisches Wax up erstellt. Hierbei stellt der Zahntechniker die verloren gegangene Zahnsubstanz mit weißem Wachs wieder her und stellt fest, welche Zähne in die Behandlung einbezogen werden müssen. Auf der Grundlage des Wax ups wird dann ein Mock up erstellt. Dieses Mock up besteht aus weißem ästhetischen Kunststoff und stellt den Entwurf für die spätere Versorgung dar. Das Mock up kann beim Beratungstermin der betroffenen Patientin oder dem betroffenen Patienten im Mund eingesetzt werden. Die Patienten können so bereits vor dem ersten Ansetzen des Bohrers das spätere Ergebnis erahnen. Zur weiteren Vertrauensbildung und Testung geben wir dieses Mock up den Betroffenen oft mit nach Hause. So können Sie das geplante Ergebnis in Ruhe bewerten und gegebenenfalls mit Lebenspartnern und anderen Vertrauenspersonen besprechen. Da sich meist auch die Aussprache mit dem geplanten Zahnersatz ändert, ist es sinnvoll, mit eingesetztem Mock up aus Büchern u. ä. laut vorzulesen und die Phonetik einzuüben.
Wenn diese Stufe erreicht ist, wird auf der Grundlage des Mock ups und dessen Bisshöhe eine Aufbissschiene gefertigt. Durch Tragen der Schiene wird die Reaktion der Kiefergelenke auf die neue Bisssituation geprüft.
Nach erwiesener Reaktionslosigkeit der Kiefergelenke und nach positiver Reaktion der Betroffenen auf das Mock up wird ein weiteres Beratungsgespräch terminiert. Im Verlauf dieses Gesprächs sollte nach Möglichkeit festgestellt und bekräftigt werden, dass sich ein grundlegendes Vertrauensverhältnis zwischen Patient und Behandler eingestellt hat. Dieses ist notwendige Grundlage für die nachfolgende umfangreiche Behandlung. Verbliebene Fragen sollten bereits zu diesem Zeitpunkt geklärt werden.
Können die Schäden durch Abrasion komplett behoben werden?
Prof. Dr. Olze: In der Regel ja, und dies auf höchstem ästhetischen Niveau.

Wie lange dauert die Behandlung abgenutzter Zähne?
Prof. Dr. Olze: Hinsichtlich der eigentlichen Behandlungsdauer sind ohne die dargestellte Planungsphase und ohne weitere Vorbehandlungen im Sinne von Kariesentfernungen oder Verbesserungen vorhandener Wurzelfüllungen etc. zwei unterschiedliche Fallkonstellationen zu unterscheiden:
Müssen keine Zähne entfernt werden und/ oder werden kleinere Zahnlücken mit konventionellem, festsitzendem und hochästhetischem vollkeramischem Zahnersatz versorgt, dauert die Behandlung etwa drei bis vier Wochen mit etwa vier bis fünf Terminen.
Wenn größere Lücken mit implanatgetragenem Zahnersatz versorgt werden sollen und wenn zudem in diesem Zusammenhang größere Knochenaufbauten nötig werden, dauert die gesamte Behandlung meist ca. ein Jahr, wobei längere Perioden bezüglich der Einheilung der Implantate und des eigenen Knochens abgewartet werden müssen. In dieser Zeit sind die Betroffenen jedoch mit hochästhetischen und festsitzenden Langzeitprovisorien versorgt, so dass die Lebensqualität nicht eingeschränkt ist.
Wer übernimmt die Kosten?

Prof. Dr. Olze: Die gesetzlichen Krankenkassen übernehmen leider nur einen geringen Teil der Kosten, da hier ausschließlich das Prinzip „ausreichend, wirtschaftlich und notwendig“ gilt. Konkret bedeutet dies, dass beispielsweise Kronen und Brücken zur Bisshebung und Wiederherstellung der Kaufunktion mit Festzuschüssen vergütet werden. Im gesamten Seitenzahngebiet und auf der Innenseite der Frontzähne werden hier jedoch keine keramischen Verblendungen bezahlt. Vollkeramische Versorgungen sind nicht Grundlage der genannten Festzuschüsse.
Vor der Behandlung werden deshalb umfangreiche Heil- und Kostenpläne von uns erstellt. Nachdem die Patientinnen und Patienten diese bei Ihrer Krankenversicherung eingereicht haben, erfolgt oftmals ein längerer Schriftverkehr mit den Kostenträgern, in dessen Verlauf wir substantiiert die medizinische Notwendigkeit der geplanten Maßnahmen erläutern. Diesbezüglich unterstützen wir, Ihr Zahnarzt in Berlin-Mitte, unsere Patientinnen und Patienten sehr gern.








