Ästhetisch und wirtschaftlich: Kombination aus festsitzendem und herausnehmbarem Zahnersatz
In den letzten Jahren hat sich im Bereich der modernen Zahnmedizin besonders im Hinblick auf Zahnersatz einiges getan: Die stetig wachsende Anzahl von immer mehr Implantatsystemen und -materialien sorgt dafür, dass die Versorgung mit Zahnimplantaten beinahe allen Patienten als mögliche Option offen steht – zumindest finanziell gesehen. Doch nicht immer ist Implantat getragener Zahnersatz die optimale Versorgungslösung für die individuelle Mundsituation. Ihr Zahnarzt in Berlin, Prof. Dr. Andreas Olze, vertraut dann auf eine Kombination aus festsitzendem und herausnehmbarem Zahnersatz, der ebenfalls durch perfekte Ästhetik und Funktionalität besticht.
Wann ist kombiniert herausnehmbarer und festsitzender Zahnersatz sinnvoll?

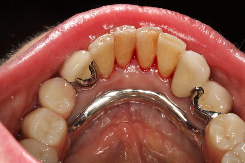
Eine Kombination aus festsitzendem und herausnehmbarem Zahnersatz ist dann besonders sinnvoll, wenn noch natürliche Zähne mit stabilen Wurzeln vorhanden sind, die dem Zahnersatz festen Halt geben können. Dafür werden die verbliebenen natürlichen Zähne sorgfältig beschliffen und mit speziellen, keramisch verblendeten Kronen abgedeckt, an welchen Geschiebevorrichtungen befestigt sind. Durch diese Vorrichtungen findet der herausnehmbare Teil des Zahnersatzes, die sogenannte Geschiebeprothese, festen Halt im Mund. Die Verbindung zwischen dem festsitzenden und dem herausnehmbaren Teil des Zahnersatzes kann auch über Stege oder Riegel erfolgen.
Herausnehmbarer Zahnersatz mit fester Verankerung
Der herausnehmbare Teil des Zahnersatzes besteht aus einer Prothese, die die natürlichen Zahnkronen in ihrer Funktion ersetzt. Um eine naturgetreue Ästhetik zu gewährleisten, wird sie meist zahnfarben verblendet; so ist sie nicht als künstlicher Zahnersatz erkennbar.
Vorteile der kombinierten Zahnersatz-Versorgung

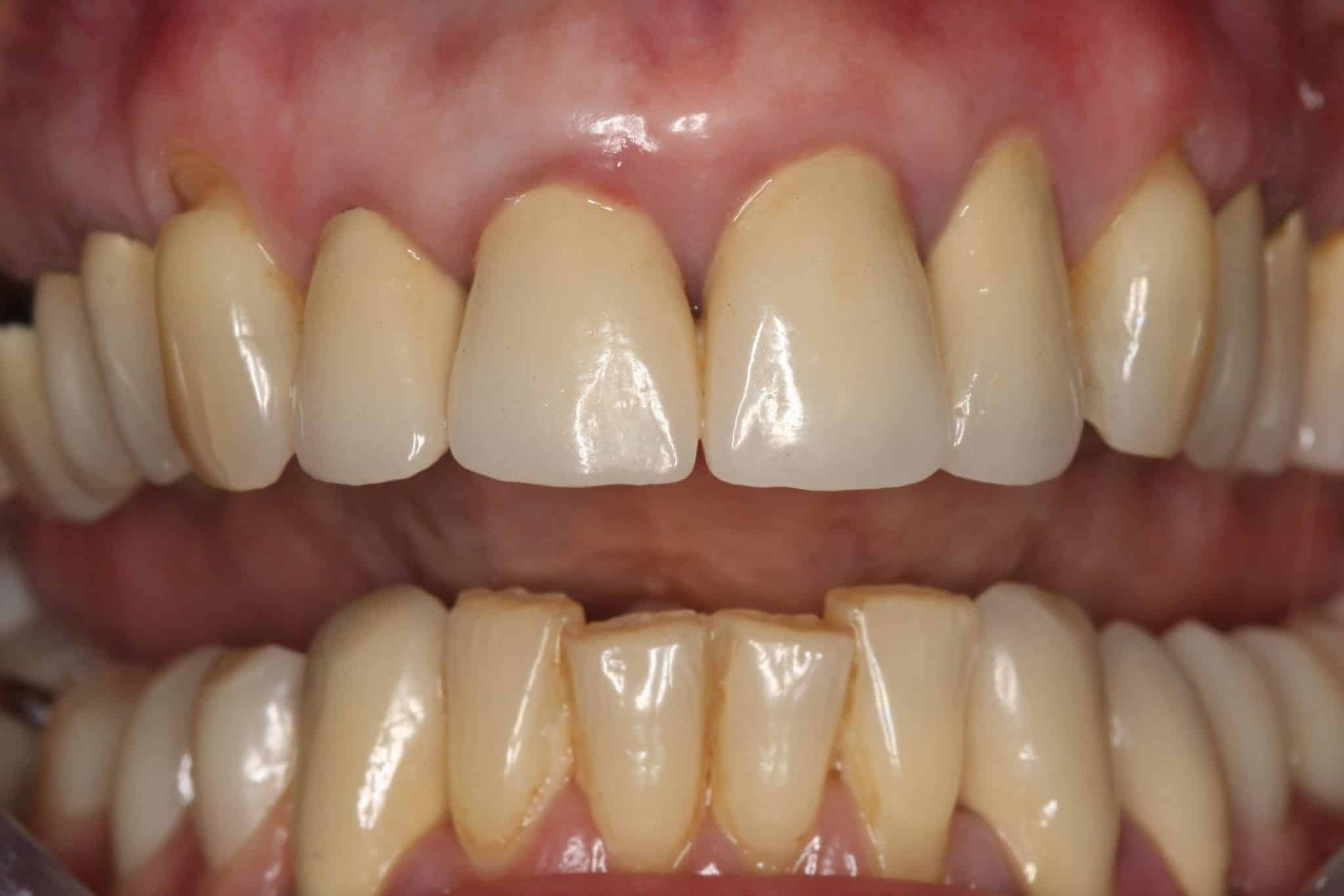
Die Versorgung mit kombiniert herausnehmbarem und festsitzendem Zahnersatz bietet für Sie als Patient viele Vorteile. So profitieren Sie von naturgetreuer Ästhetik und Funktion ohne dass das Setzen von Zahnimplantaten nötig ist, was sich natürlich mindernd auf den Preis der Versorgung auswirkt. Durch die feste Verankerung des herausnehmbaren Teils im Mund leiden Sie zudem nicht unter dem bekannten „Fremdkörpergefühl“, welches bei herkömmlichen Prothesen häufig auftritt. Die Geschiebeprothesen bestechen dadurch, dass die Gaumenanteile im Oberkiefer und die unter der Zunge liegenden Anteile kleiner gestaltet werden können. Dennoch bestechen die kombinierten Lösungen mit perfektem und sicherem Halt und geben Ihnen das Gefühl fester Zähne.
Benötigen Sie Zahnersatz? Vielleicht ist die kombiniert festsitzende und herausnehmbare Lösung die perfekte Versorgung für Sie. Gerne berät Sie Ihr Zahnarzt in Berlin persönlich und individuell. Vereinbaren Sie einen Termin!









