Implantate trotz geschädigtem Kieferknochen
In Ihrer Zahnarztpraxis Berlin Mitte kümmern wir uns um alle Patienten. Wir wünschen Ihnen ein gesundes und strahlend schönes Lächeln. In einigen Fällen ist dies nicht ganz so einfach zu erreichen, wie das folgende Beispiel zeigt. Ihr Zahnarzt Prof. Dr. Olze sorgt dennoch dafür, dass Sie Ihr Ziel erreichen.
Fallbeispiel einer jungen Patientin
Eine 28-jährige Patientin benötigte Implantat getragenen Zahnersatz, um ihre Zahnlücke im Frontzahngebiet zu schließen und wieder unbeschwert lächeln zu können. Bevor die Implantate gesetzt wurden, war es bei dieser Patientin nötig, den geschädigten Kieferknochen wieder aufzubauen. Im Vorfeld wurde bereits durch Vorbehandler mit Augmentationsversuchen begonnen, welche jedoch leider fehlschlugen. So wurde in mehreren erfolglosen Behandlungsversuchen ein synthetisches Knochenaufbaumaterial verwendet. Dieses führte zu einer ausgedehnten Entzündung in deren Folge statt eines zusätzlichen Knochenvolumens ein massiver Knochendefekt im betroffenen Frontzahngebiet resultierte.


Therapielösung von Prof. Dr. Olze & Kollegen
Zunächst einmal mussten die Reste des synthetischen Knochenaufbaumaterials umfangreich entfernt werden. Nur so konnte die Grundlage für einen neuen, nunmehr erfolgreichen, Behandlungsschritt geschaffen werden. Diese Behandlung führte Prof. Dr. Khoury kompetent in unseren Praxisräumen durch. Anschließend konnte mit der Knochenblockaugmentation begonnen werden. Ziel war es, eine stabile und langfristige Grundlage für die Verankerung von Zahnimplantaten zu schaffen.
Ein Zahnimplantat funktioniert als künstliche Zahnwurzel und trägt hochwertigen festsitzenden oder herausnehmbaren Zahnersatz. Diese künstliche Wurzel verbindet sich beim Abheilen fest mit dem umliegenden Knochengewebe. Damit das Implantat später Halt für den Zahnersatz bietet, muss der Knochen ihm genügend Volumen und Stabilität liefern. Deshalb ist bei Vorliegen eines entsprechenden Knochendefizits ein Knochenaufbau mit Eigenknochen aus dem Unterkiefer ein entscheidender Erfolgsfaktor für die spätere Implantation und sollte daher professionell durchgeführt werden.

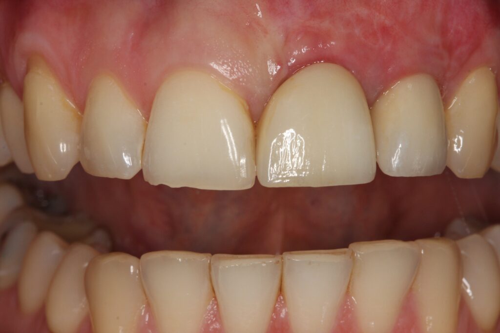
Implantat getragener Zahnersatz auf aufgebautem Eigenknochen
Nachdem die gewünschte Stabilität des Kieferknochens erreicht wurde, konnte Prof. Dr. Olze mit dem Setzen der Implantate beginnen. Um langfristig für Stabilität und Ästhetik zu sorgen und um einen erneuten Eingriff vermeiden zu können, wählte er in Absprache mit der Patientin hochwertige ANKYLOS®- Implantate und Zahnersatzkomponenten von Dentsply Sirona. Diese Versorgungslösung ermöglicht eine lange Haltbarkeit und mechanische Stabilität. Auch auf ästhetischer Ebene überzeugt diese qualitativ hochwertige Lösung. Hiermit ist sichergestellt, dass die Patientin auch nach Jahrzehnten noch unbeschwert lachen und abbeißen kann. Durch die innovative Knochenaufbaumethode und die nachhaltig konzipierten Implantatkomponenten wird einem späteren Knochenabbau entgegengewirkt und das Gewebe bleibt anhaltend stabil und gesund.


Schöne Zähne dank kompetentem Team
Ihr Zahnarzt Berlin Mitte, Prof. Dr. Olze & Kollegen, freut sich mittlerweile über eine große Anzahl von Patientenfällen, bei welchen ein schönes, strahlendes Lächeln wiederhergestellt werden konnte. Egal wie kompliziert Ihr Fall ist, wir kümmern uns sehr gern mit viel Erfahrung, Fachkompetenz und Einfühlungsvermögen um Sie! Auch wenn Sie an anderer Stelle negative Erfahrungen gesammelt und bei Vorbehandlern zahlreiche vergebliche Eingriffe im Vorfeld erlebt haben, können Sie gemeinsam mit uns Ihr Ziel erreichen und mit gesunden, schönen Zähnen Ihre Lebensqualität zurück erlangen. Wir unterstützen Sie gern und machen scheinbar Unmögliches möglich.
Sie benötigen ein Zahnimplantat oder möchten sich genauer über die Korrektur unzureichender Behandlungsergebnisse im Zusammenhang mit dem vergeblichen Einbringen von künstlichem Knochenersatzmaterial bei uns informieren? Ihr Zahnarzt sagt Ihnen, dass bei Ihnen nicht genügend Knochen für eine Implantation zur Verfügung steht? Dann vereinbaren Sie sehr gern direkt einen Beratungstermin in Zahnarztpraxis Berlin Mitte!









